HOME ≫ マイクロスコープ根管治療 ≫

マイクロスコープ根管治療

マイクロスコープ根管治療について

  • 根の尖に膿がたまっているので抜歯するしかないと言われた
  • 根管治療を何度もしても痛みが消えずに抜歯を提案された

などなどでお悩みの方はいらっしゃいませんか?

当院で行う精密根管治療の特徴

  1. 適切な麻酔をすることで術中の痛みをコントロールします。(チクチクしない、神経に触るような激痛を与えない)
  2. 根管治療前準備に手を抜きません。(痛みの原因は神経取り残しではなく、肉眼では見えない場所に虫歯が多く残っていることが多くあります。銀歯や古い詰め物を外し、隠れている虫歯を徹底的に除去します)
  3. 根管治療中でも食事を取れるよう配慮します。(治療中の歯でも食事ができます。細菌の侵入を防ぐため失った歯を樹脂で再建し、仮歯を作ります)
  4. 清潔で無菌的な治療を心がけます。(ラバーダム防湿、滅菌器具、新品器具を使用します)
  5. ドイツ製マイクロスコープFlexionを全ての症例で使用し、肉眼では見えない感染を徹底的に除去します。
  6. 体に優しい安全な薬剤を使用します。(海外では使用禁止とされているホルマリンや臭いの強いお薬は使用しません)
  7. コンピューターにて回転力や速さを制御するNiTiファイルを使用し、効率を上げて回数を少なく安全に治療します。
  8. 緊密な根管充填と精密な補綴修復により治った根管をより長く維持します。

適切な診断と処置によってあなたの歯を救う手助けをできるかもしれまいせん。

初めに知って欲しいこと ~日本の根管治療はだめなの?~

日本の歯科医師が持つ技術と奉仕の精神は素晴らしいものです。現在、日本において根管治療における歯科医師に支払われる報酬は世界一低い基準です。それでも日本の歯科医師は時間を30分〜45分取り、高価な器具を自腹で導入して赤字で根管治療を行なっています。

講演や勉強で海外を訪れた際に、下手な根管治療を「Japanese Endo」と言って揶揄する海外の先生がいました。ネット社会の現代ではその情報が日本でもよく伝えられるようになり、日本の歯科医師は根管治療に対する自信を失っています。しかし、私が海外で見てきたのは決して日本人の治療技術は劣っておらず、皆保険のシステムそのものに問題を抱えているということです。

海外の歯科医師が10倍近くの報酬と3倍の時間で良い治療と評価され、それに対し日本の歯科医師が低い報酬と僅かな時間しか取れず悪い治療と世界で評価されるのには納得できません。システムそのものに問題があるにも関わらず日本の歯科医師はなんとか根管治療を健康保険で続けています。この後紹介する症例も他院で短い時間と報酬で先生方は一生懸命努力されたと私は考えています。指導医である私でさえ現状の報酬と短い治療時間では到底良い根管治療は提供できません。

治療後考えれるリスク

上記の術式は、非外科的に歯の中を切削・清掃し、根管内にお薬を充填します。
場合によって、外科処置に移行する場合があります。

  1. ラバーダムを使用しての根管治療の成功率は、世界的レベルで50、70、90パーセント前後といわれております。根管治療完了後も再治療、外科処置(別途費用が必要です)、抜歯などの処置をしなくてはならなくなることもあります。
  2. 根管治療では多くの特殊な機械を用い治療を行います。現段階では機械が破損し、根管内に留まる危険性、歯への穿孔が起こる可能性があります。
  3. 人工物除去できない場合は治療を中断することがあります。また除去時に歯牙及び歯根が割れる可能性があり、その場合は抜歯になる可能性があります。
  4. 麻酔薬、注射、投薬等により、非常にまれではありますが次のようなことが起こることがあります。①腫脹 ②感染 ③出血 ④不快症状 ⑤痛み ⑥吐き気 ⑦アレルギー反応 ⑧唇、舌、歯肉の麻痺やしびれ
  5. 根管治療以外の選択肢として、①外科処置 ②抜歯 ③何もしない このような選択肢もあります。 アメリカ歯内療法学会ガイドラインを参照し歯の状態によっては外科処置に移行する場合がありますが、まずは担当歯科医師とご相談ください。

精密根管治療料金

(隔壁、穿孔封鎖、M T A、リーマー除去、ファイバーコア築造など全てを含みます)

前歯 ¥154,000(税込)
小臼歯 ¥176,000(税込)
大臼歯 ¥198,000(税込)

症例

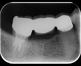
症例1 神経を取っても痛みが取れない

2

膿を出す目的で根管が開放(ガイドラインでは推奨されていません)がされていました。

3

ホルマリンと思われる強い刺激臭がします。

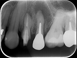
4

綺麗に治療されているように見えます。

5

感染(虫歯など)のみに色がつく染色液です。神経は取れていますが、感染が残ってしまい痛みが残っていました。

6

虫歯を除去し再度バイ菌が入らないよう壁を作ると痛みは無くなりました。(隔壁と言います)

この治療のリスクと費用
精密根管治療大臼歯 ¥198,000(税込)

根管治療後に歯ぐきの腫脹や痛みを伴うことがあります。
虫歯の範囲が大きい場合、残りの歯が薄くなり歯が割れてしまう可能性があります。

症例2 レントゲンで見てもしっかり治療が終わっているのにまだ疼く

マイクロスコープで小さい神経を見落とさない。
歯の神経は非常に細いため肉眼ではたびたび神経を見落としてしまうことがあります。
(この症例ではMB2という細い神経を見つけることができました)

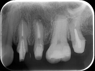
7

矢印の部分にわずかに小さい穴が見えます。

8

拡大すると見逃していた神経が現れ膿が出てきました。そこを綺麗にすると疼いていた症状が無くなりました。

学生の頃には2本と教えられた根管もマイクロスコープで見るとこのように3本目の神経MM根を発見することがよくあります。

9

2つ神経があるように見えます。

10

真ん中にもう一つ隠れていました。
穴が開いてしまっている根管でもMTAを使い封鎖し、隠れてしまった本来の神経をマイクロスコープで見つけることができました。

この治療のリスクと費用
精密根管治療大臼歯 ¥198,000(税込)

神経を取り除いても7%の可能性で非歯原性歯痛など痛みが残ることがあります。
根管治療中に破折(ヒビ)が見つかることがあります。現在世界的な基準では破折は抜歯が妥当とされていますので、治療を中断し残すかどうかをよく話し合います。その場合は精密根管治療費は必要とせず破折診断料の¥22,000のみ頂戴致します。

症例3 治療中に穴が開いてしまい、特殊な接着剤で埋めてもらったが、痛みが続く

11

治療後も痛みが続くとのことです。

12

強力な接着剤が入ってました。

13

歯と接着剤をマイクロスコープで識別し、慎重に取り除きます。その下に穴が開いていました。

14

穴と神経をM T Aで詰めて痛みは止まりました。
適切な治療をして適切な封鎖をすれば溶けていた骨も再生します。

この治療のリスクと費用
精密根管治療大臼歯 ¥198,000(税込)

根管治療後に歯ぐきの腫脹や痛みを伴うことがあります。
虫歯の範囲が大きい場合、残りの歯が薄くなり歯が割れてしまう可能性があります。

症例4 土台が大きくて治療できないようだ

15

太い金属(白く写っている部分)が入っており、その先の骨が溶けてます。

16

太い金属を安全に外し根の治療を終えました。骨は再生しています。

この治療のリスクと費用
精密根管治療前歯 ¥154,000(税込)

根管治療後に歯ぐきの腫脹や痛みを伴うことがあります。
虫歯の範囲が大きい場合、残りの歯が薄くなり歯が割れてしまう可能性があります。

症例5 トイジョウコン(樋状根)で治療が難しい

17

樋状根という難しい形です。根の先では骨が溶けています。

制約のない最新の根管治療

日本でも尊敬する先人たちにより、皆保険の枠組みを超えた時間と器具の制約を受けない根管治療を提供する動きが20年ほど前から出てきました。30年皆保険の根管治療で使用する器具は変わっていませんが、世界では最新の器具がたくさんあります。制約のない必要な器具全てを使用して行われる日本の精密根管治療は成功率が高いと言われる海外の根管治療と変わりません。

ぜひ皆さんもご自身の歯を守るために、この現状をご理解頂き、ご自身で納得した治療方法を選択してくださいませ。

18

根管治療をやり直し、骨が再生しました。

この治療のリスクと費用
精密根管治療大臼歯 ¥198,000(税込)

根管治療後に歯ぐきの腫脹や痛みを伴うことがあります。
虫歯の範囲が大きい場合、残りの歯が薄くなり歯が割れてしまう可能性があります。

症例6 精密根管治療を行なったが、良くならない

どうしても精密根管治療で治らない場合は外科的な根管治療(歯根端切除術)をマイクロスコープ下にて行います。

19

太い金属が入っています。その先の骨が鼻の穴の手前まで溶けています。

20

根の先を手術で切断し、MTAを根の先に詰めました。骨も再生しました。

この治療のリスクと費用
歯科用顕微鏡下歯根端切除術 ¥77,000

治療後に歯ぐきの腫脹や痛み出血を伴うことがあります。

精密根管治療

治療内容

当院ではアメリカ歯内療法学会ガイドラインにのっとり、虫歯の徹底除去と隔壁(意外と銀歯や古い樹脂の下には虫歯がいっぱい隠れています。当院では全て除去し、虫歯を識別する染色液を使い徹底的に虫歯を除去します。その後再感染防御のためラバーダム防湿、滅菌器具、新品器具(NiTiファイル・ステンレスファイルなど)を使用し適切な診断と処置により根管治療を行います。